|
|
(0) |
Папіломатоз, або бородавки, як часто можна зустріти в побуті — це множинні утворення, викликані вірусом папіломи людини, здатним проникати в здорові клітини епітелію, провокуючи розвиток специфічних новоутворень. Прийнято вважати, що більшість таких розростань доброякісні і рідко призводять до онкології. Але вони можуть дошкуляти: натиратися одягом, трохи кровоточити, дратувати, а ще часто мають не дуже естетичний вигляд. Правильна діагностика дозволяє підібрати безпечне та ефективне лікування папіломатозу, запобігти рецидивам і мінімізувати ускладнення.
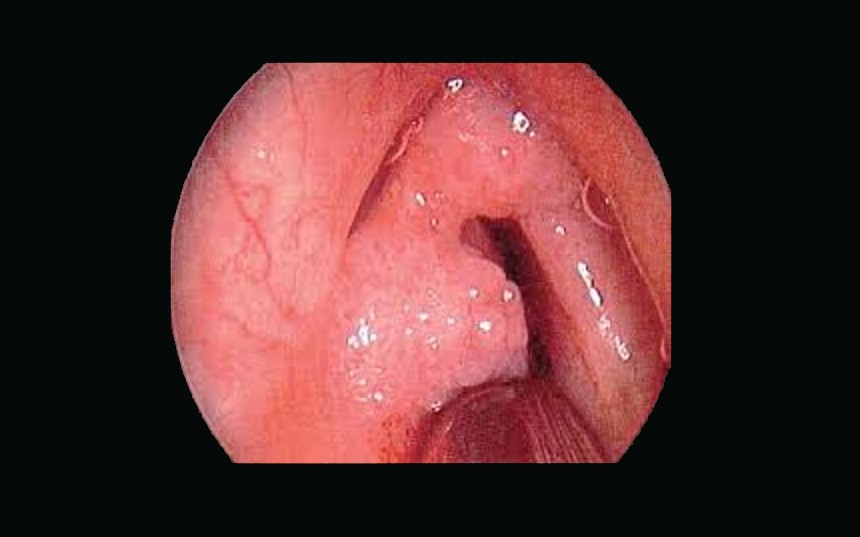
Записатися на прийомПапіломатоз, як правило, становить приблизно до 40% усіх діагностованих утворень гортані. Він виглядає як дрібні вирости, трохи шорсткі, іноді їх порівнюють із цвітною капустою. Можуть з’являтися й на слизових рота, носа або дихальних шляхів.
Такі утворення зазвичай доброякісні, але вони можуть викликати дискомфорт: голос змінюється, дихати або ковтати стає трохи складніше. Багато людей помічають, що ці вирости легко зачепити під час їжі чи розмови, тоді вони травмуються й запалюються, і виникає потреба піти до лікаря.
Саме тому важливо не ігнорувати проблему, а звернутися до ЛОРа або дерматолога — вони зможуть визначити тип ВПЛ, оцінити стан слизової й підібрати безпечне та ефективне лікування. Сучасні методи, наприклад лазерне видалення, допомагають швидко усунути папіломи та зменшити ризик їх повторної появи.
Основна причина розвитку папіломатозу шкіри — проникнення ВПЛ через невеликі пошкодження шкіри, подряпини або тріщини. Активізація вірусу частіше трапляється на тлі ослабленого імунітету, гормональних змін, стресу або постійного травмування шкіри. Симптоми можуть включати:
Хоча такі утворення зазвичай доброякісні, краще показати їх дерматологу. Лікар зможе визначити тип ВПЛ, оцінити ризики та підібрати безпечний спосіб видалення. У MED CITY працюють досвідчені фахівці-дерматологи, які готові прийняти вас у зручний час.
Лікування папіломатозу шкіри завжди підбирають індивідуально, залежно від кількості, розташування та особливостей утворень. Перш ніж почати процедури, лікар оглядає шкіру та може призначити аналіз на папіломатозну інфекцію — ПЛР-тест або біопсію. Найефективніший підхід поєднує два напрями:
Якщо у вас з’явилися папіломи або їх стає більше, краще звернутися до фахівця. Лікар огляне шкіру, визначить тип ВПЛ і підбере найбезпечніший та найефективніший спосіб лікування папіломатозу.
© Автор статті: Дерматовенеролог вищої категорії, косметолог, трихолог Івчук Зоріна Валеріївна
© 2020 року, МЕД СІТІ. Всі права захищені.
ТОВ «МЕД СІТІ». Ліцензія на ведення медичної діяльності згідно рішення МОЗ №602 від 17.09.2015 Юридична інформація .