|
|
(0) |
У гінекології поліпом цервікального каналу називають доброякісні нарости на слизовій оболонці шийки матки. Візуально він нагадує невеликий горбок, який кріпиться до тканин за допомогою тонкої «ніжки» або широкої основи. Такі утворення можуть бути як одиничними, так і груповими. Найчастіше їхня поява пов'язана з гіперплазією — надмірним розростанням внутрішнього шару матки.
Записатися на прийомНезважаючи на свою доброякісність, поліпи вимагають пильної уваги. Вони часто стають механічним бар'єром на шляху до зачаття, провокуючи безпліддя. Крім того, є ризик переродження в рак, тому обов'язково потрібна своєчасна консультація гінеколога та видалення поліпа одразу після виявлення.
Основним «двигуном» росту поліпів вважається гормональний дисбаланс, зокрема надлишок естрогенів. Однак у нашій практиці ми спостерігаємо, як інші фактори також створюють сприятливий ґрунт для патології:
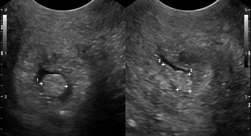
На ранніх етапах хвороба підступна своєю тишею. Жінка може роками не підозрювати про проблему, допоки утворення не буде знайдене випадково під час планового огляду чи кольпоскопії. Також добре видно поліп цервікального каналу на УЗД-фото. По мірі росту утворення починають проявлятися характерні ознаки:
Іноді пацієнтки запитують, чи поліп цервікального каналу видно на УЗД. Так, сучасні апарати дають можливість помітити утворення навіть при невеликих розмірах. Його видно по локальному потовщенню або чіткому включенню в просвіті шийки матки. Воно зазвичай має структуру щільнішу, ніж навколишні тканини, і чітко виділяється на моніторі.
Стратегію лікування підбирає гінеколог. Він враховує вік пацієнтки, розміри поліпа цервікального каналу та плани на майбутню вагітність. Важливо розуміти: пігулок від цих утворень немає. Тому немає сумнівів у питанні, чи поліп цервікального каналу може зникнути без видалення, — однозначно, ні. Тільки шляхом видалення можна відновити нормальну роботу репродуктивної системи та виключити ризик онкології.
Процедуру зазвичай проводять у першій фазі циклу на 7-10 день. В арсеналі лікарів є кілька методів:
Після операції матеріал обов'язково відправляють на гістологію. Якщо атипових клітин не виявлено, лікування вважається завершеним.
Вибір цих методів залежить від клінічної картини. Лазер є ідеальним для точкового видалення одиночного поліпа. Це швидко, майже безкровно і не залишає рубців. Однак, якщо лікар бачить ознаки загального розростання слизової оболонки, може знадобитися вишкрібання поліпа цервікального каналу разом з функціональним шаром. Так вдається провести повну «ревізію» та знизити ризик рецидивів.
Ми надаємо перевагу органозберігаючим та малоінвазивним методикам. Тому в першу чергу використовуються лазерні та радіохвильові технології. Завдяки використанню високоточних гістероскопів ми можемо видаляти поліпи з ювелірною точністю, не травмуючи шийку матки. Це є критично важливим для жінок, які планують народжувати в майбутньому. Процедура проходить у комфортних умовах та під анестезією, тому фізичний та психологічний дискомфорт виключені. Не відкладайте візит до лікаря і запишіться до гінеколога, якщо вас турбують мажучі виділення або болі. Ми допоможемо повернути репродуктивне здоров'я делікатно та успішно.
© Автор статті: Акушер-гінеколог, хірург Кулешов Олексій Йосифович
© 2020 року, МЕД СІТІ. Всі права захищені.
ТОВ «МЕД СІТІ». Ліцензія на ведення медичної діяльності згідно рішення МОЗ №602 від 17.09.2015 Юридична інформація .